MRI–Ultrasound Fusion Prostate Biopsy in Arlington & Dallas–Fort Worth, TX
Dr. Richard Bevan-Thomas is a recognized leader in prostate cancer diagnosis in DFW. We utilize advanced MRI-Ultrasound Fusion Biopsy to achieve pinpoint accuracy, performing well over 5,000 procedures. Our high-volume experience spans both targeted (fusion) sampling and full template mapping via both transrectal and modern transperineal techniques, ensuring the highest standards of diagnostic care.
Prostate Biopsy: MRI-Fusion Delivers Clarity—Not Guesswork
An elevated PSA or a concerning MRI can feel like limbo. You want answers you can trust, without unnecessary procedures. Dr. Richard Bevan-Thomas performs MRI–ultrasound fusion prostate biopsies to deliver precise, comprehensive information.
- MRI-Targeted Cores: MRI-targeted cores are aimed precisely at the MRI-identified lesion(s) (PI-RADS scoring areas).
- A Streamlined Systematic Template: A streamlined systematic template helps ensure we don't miss a clinically significant cancer beyond what the MRI can visualize.
Second Opinion & When We Recommend Biopsy
If you’ve been told you “need a biopsy,” schedule a second-opinion review. Dr. Bevan-Thomas personally reviews the actual MRI images with you (not just the report) to discuss the next steps: biopsy, biomarker testing, or structured surveillance.
| MRI Finding (PI-RADS Score) | Recommenion Ganceuiddat |
|---|---|
| PI-RADS 4–5 | Fusion Biopsy Recommended. (High likelihood of clinically significant cancer.) |
| PI-RADS 3 | Not automatic. Decision is individualized based on PSA density, trend, age, family history, prior biopsy results, and biomarkers (e.g., ExoDx). |
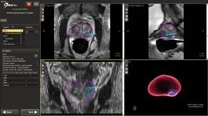
How MRI–Ultrasound Fusion Works (Step-by-Step)
- Build the MRI "Map": We mark the prostate and any PI-RADS 3–5 lesion(s) on your MRI files to create a 3D model.
- Align MRI to Live Ultrasound (Registration): The fusion software aligns your MRI model with real-time ultrasound using elastic registration (molding the MRI to the ultrasound) for precise landmark matching.
- Targeting—See It, Aim It, Sample It: Each MRI target appears inside the ultrasound view. A tracked needle path ensures accurate sampling of multiple targeted cores per lesion.
- Saved "Map" for Continuity: Every core is logged on the 3D map with coordinates for Active Surveillance follow-up or future treatment planning.
Benefits of Choosing MRI Fusion with Dr. Bevan-Thomas
| Platform | Location | Benefit |
|---|---|---|
| Transperineal Fusion (Koelis) | USMD Hospital Arlington (Conscious IV sedation) | Lowest infection risk (avoids rectal bacteria). Excels for anterior/apical lesions. |
| Transrectal Fusion (Invivo) | SCNT—Arlington (Sedation) or In-office (Local) | Efficient, widely covered, highly precise with the Invivo system. |
- Why Digital Fusion over "Cognitive" Targeting? Digital overlay and tracking are far more precise than estimating the target by memory alone.
- Because we offer both Invivo and Koelis, you receive the safest, most accurate, and most comfortable option tailored to your specific needs.
What to Expect
PROCEDURE, RECOVERY & RESULTS
(5–7 Day Timeline)
If you’ve been told you “need a biopsy,” schedule a second-opinion review. Dr. Bevan-Thomas personally reviews the actual MRI images with you (not just the report) to discuss the next steps: biopsy, biomarker testing, or structured surveillance.
- Afterward: Most men return to normal activity the same day. Temporary blood in urine or semen is common.
- Results: Tissue is reviewed by a board-certified GU pathologist. Results return in 5–7 days and are discussed at your follow-up appointment, where Dr. Bevan-Thomas personally outlines next steps (surveillance, treatment, or testing).
Why Patients Choose Dr. Bevan-Thomas
- Unmatched Experience: Well over 5,000 MRI-ultrasound fusion biopsies performed.
- Comprehensive Standard: Targeted and template sampling on every fusion biopsy for maximum accuracy.
- Technology Leadership: Offers both Invivo (transrectal) and Koelis (transperineal) platforms.
- Second-Opinion Expertise: Personally reviews the actual MRI images with patients—ideal when deciding whether to biopsy or proceed to Active Surveillance.
- Location: Serving Arlington, Dallas, Fort Worth and the greater DFW area.
- Surgical Insight: With 23 years of experience as an accomplished robotic and ablation surgeon, Dr. Bevan-Thomas analyzes your biopsy results through the lens of treatment candidacy and recurrence risk.
- Balanced Recommendations: You receive truly impartial guidance. As a specialist fluent in surgery, ablation, and coordinated radiation, your plan is tailored to the most effective path, never confined by a single procedure.
Schedule a Second-Opinion Review—or Your Fusion Biopsy
Whether you’re deciding if you need a biopsy, proceeding to a Fusion Biopsy, or exploring Active Surveillance, Dr. Bevan-Thomas provides confident answers. As an accomplished robotic surgeon and ablation specialist, he provides truly impartial guidance on your best next step.
- 866-367-8768
- 801 West I-20 Suite 1 • Arlington TX 76017
Frequently Asked Questions
Do you always take both targeted and template cores?
Yes. To ensure comprehensive screening and avoid missing cancers outside MRI visible lesions, we always perform targeted and systematic template sampling in the same session.
Which approach is safer, transrectal or transperineal?
Transperineal (Koelis at USMD Hospital Arlington) has the lowest infection risk because it avoids rectal bacteria. Transrectal risk is slightly higher, but is under 1% in our practice with antibiotics and prep.
Where are the biopsies performed?
Transperineal biopsies are performed at USMD Hospital Arlington under conscious IV sedation. Transrectal biopsies are performed at SCNT, Arlington under conscious IV sedation or in office with local anesthesia.
How soon are results ready, and how will I get them?
Pathology is reviewed by a board certified genitourinary pathologist. Results typically return in 5 to 7 days and will be discussed at your follow up appointment with Dr. Bevan Thomas.
Can I get a second opinion before deciding on biopsy?
Yes. Dr. Bevan Thomas provides second opinion reviews and personally goes over your actual MRI images, not just the report, to help decide whether biopsy, biomarkers, or surveillance is the right next step.